循環器症例 動脈管開存症(PDA)
- 外科
- 循環器科
<動脈管開存症:PDA (Patent ductus arteriosus)>
PDAとは犬で最も多い先天性心血管疾患の一つであり、先天性心疾患のおおよそ25%~30%の発生率といわれており、お母さんのおなかの中に居るときに、「胎児循環」を維持するための「動脈管」が生まれてからも閉鎖しないことで発症する病気です。
下行大動脈と肺動脈を橋渡しすることで大動脈から肺動脈へ血液が過剰に短絡することで、様々なトラブルを起こします。
この病気、だいたい1歳未満で70%が左心不全を発症し、積極的な治療を行わないと診断から1年以内に亡くなってしまう可能性も高いです。
ごくまれに、症状が現れず高齢になるまで発見できなかったりすることもあるのですが、発見したらなるべく早くにカテーテル治療や外科治療をする必要があります。
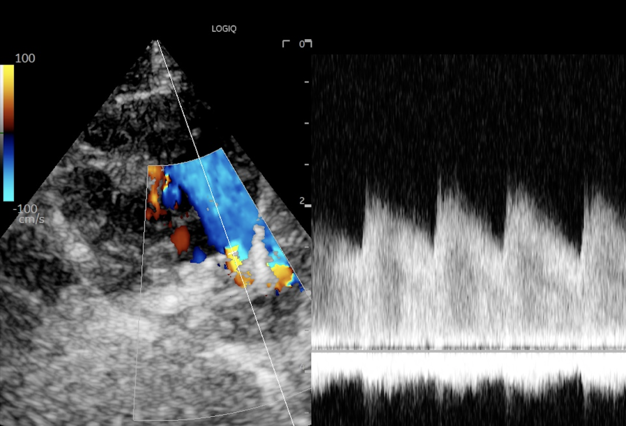
PDAの確定診断は心エコー検査が必要ですが、超音波を当てれば比較的簡単に診断できます。超音波検査で下行大動脈から左肺動脈へと向かう短絡血流を確認することが必要です。
様々なパターンの逆流(モザイクになってる部分が血液の逆流が起こっている)
逆流している血液の波形

手術後には逆流がなくなっている。
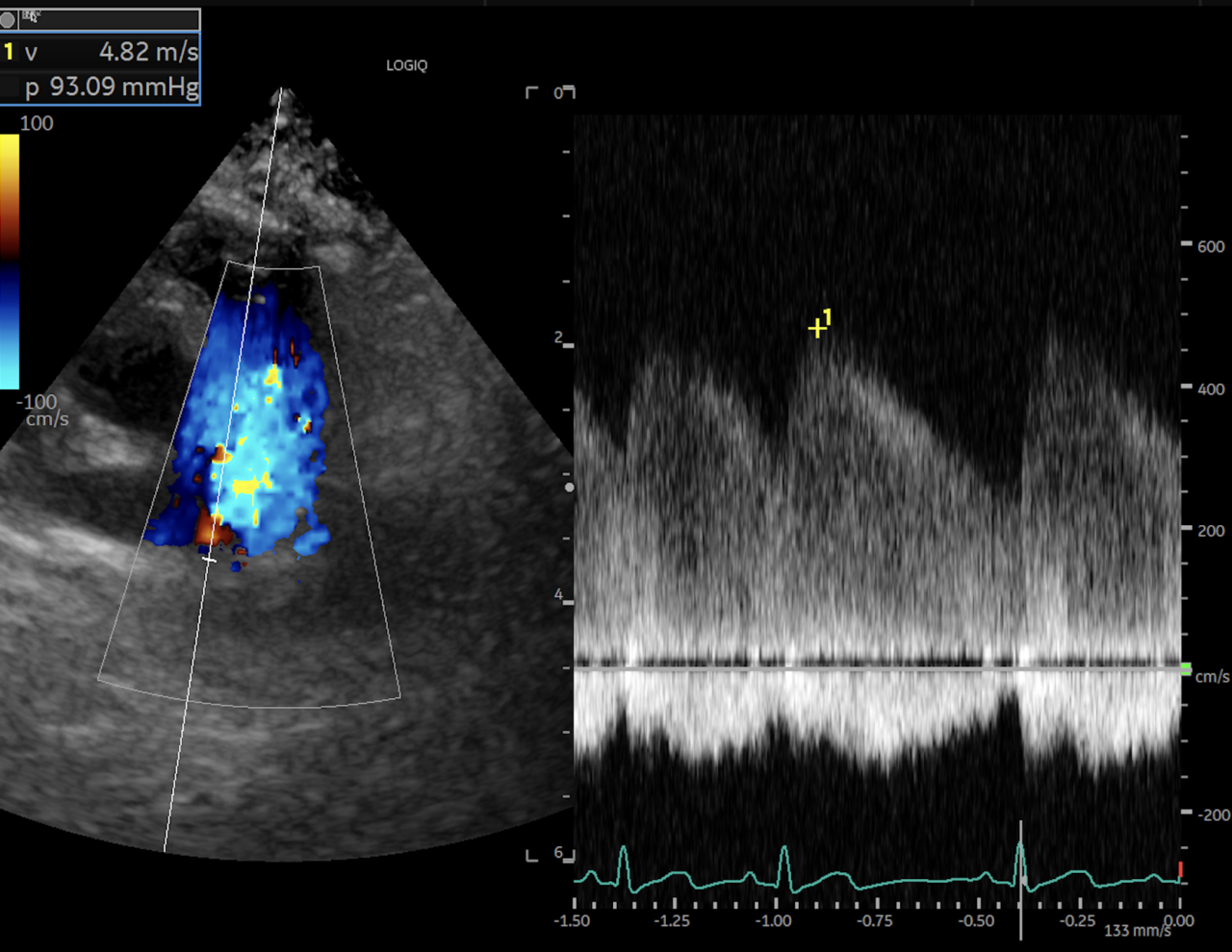
病気が確定出来たら検査時点での病状の状態を把握する必要があるため、レントゲンや心電図、血液検査などを含めた心機能検査をして手術の予定を決めます。心機能検査のための超音波はとても重要でこれは血液の流速や、動脈管の太さなどなるべく正確に知りたいので多少の技術が必要です。その血流波形を確認して最大血流速度が3.5m/sec以下の場合は、肺高血圧症の合併症も疑わなければならないため、検査による描出と計測はとても重要です。
この病気のCT画像ですが、動脈管がはっきりと写っています。切るべき切開部は大概決まったところで大丈夫なのですが、ごく稀にイレギュラーなケースもありました。CTをとると動脈管周囲の解剖や血管がはっきりしますので予めイレギュラーがないかとか、術式の計画が立てやすく、術中のトラブルが避けることもできるためとても重宝します。実際に手術時間の短縮につながりました。
この病気は若齢で見つかることが多いため、体重が1kgに満たない症例がほとんどです。小さいと術野がとても小さくても十分に入りません。心臓の負担が少なければなるべく1kgを超えてから手術をしたいのですが、今までの症例は1kg以下での手術となるケースが多かったです。心臓次第ですね。
ごく稀に大人になるまで症状に気づかず歳をとると本来下行大動脈から肺動脈が通常ですが、まれにこれが逆転(肺動脈から下行大動脈)してしまうこともあり、その場合手術の適応でなくなります。
ちなみに、この病気は心臓の音も特徴的なため、子犬の時点で比較的見つかりやすく、昔に比べると今のペットショップなどにいる子たちにはまずいないと思います。ですから、お家で生まれた子で経験することがあるかもしれませんが、稀だと思います。
症例
ポメラニアン、メス、1.6kg 6ヶ月
ちょっと心臓が悪くなっているケースでしたが、見た目はとても元気でした。
指のサイズからとても術野が小さいことがわかってもらえると思いますが、当然手が入りませんので、全て小さい鉗子などで行うわけですが、ここには上側に迷走神経、心臓の真ん中ぐらいに横隔神経という大事な神経があるためそれを保護しながら手術します。心臓や血管は膜や脂肪などで守られているので慎重に剥離して血管を露出します。膜を意識するだけで術野の出血はかなり抑えられるため最後まで綺麗な術野が確保できます。
指が入らないので血管を結紮する糸を通すのが最大の難所です。
裏側が見えないのでかなり緊張しますが、ここでイレギュラーな血管が無い事が分かっているとずいぶん楽です。
糸を通せればほぼ終わりです。慎重に血管を締めていき終了です!
動脈管のスケールを図っていますが、これは自分が超音波で見ていた動脈管をいかに正確に出せれていたかを確認するためにしています。
最近ではインターベンション、つまりカテーテル治療が可能となってきているのですが、サイズや動脈管の形態にもよりますし、1kg未満ですることも多い手術なのでうちではこの方法が主になります。
今回も無事に終われてホッとしています。
残念ながら私が経験した16症例では当初2頭が術中死した経験もあるのですが、機器の発展やアプローチの確立などで最近は術後も含めて比較的安定した結果になっているので助けれる症例が増えて良かったです。
今回は麻酔や肺の保護、術中及び術後の鎮痛管理などは割愛しますが、そこに関してもしっかり対応してあげないと特に肋間を切開しているため鎮痛はとても重要です!術後触っても痛がらないとか、穏やかに過ごしているのを見ると痛みの管理はとても重要だと思っています。 誰でも痛いのは嫌ですからね。
今回はあまり見ることのない症例でしたが、先天性の病気でも治療をすれば改善できる症例でした。最近は心臓外科の発展も著しく人と同様に人工心肺を使っての手術ができる施設も増えています。この病気は先天性の中でも心臓を直接触る事がなくすむ手術ですが、すぐ横で心臓が動いていたり、肺が出てくる手術は操作による損傷が一番怖いのですし血管を触るのはすぐ大出血につながりかねないので何度やっても毎回緊張度は半端ないですね。






















